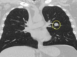
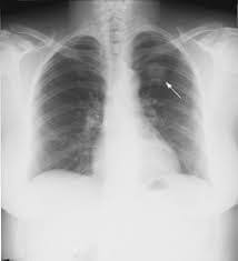
Με τον όρο οζίδιο ή όζος, εννοούμε ένα υπέρπυκνο ιστό σε σχέση με το υπόλοιπο πνευμονικό παρέγχυμα το οποίο εντοπίζουμε με κάποια απεικονιστική εξέταση όπως ακτινογραφία ή αξονική τομογραφία θώρακος.

Ένας όζος παρατηρείται τυχαία κάθε 500 περίπου ακτινογραφίες θώρακος. Μπορεί να είναι ένας οπότε ονομάζεται μονήρης όζος ή πολλαπλοί.

Ένα οζίδιο έχει περισσότερες πιθανότητες να είναι καλόηθες όταν:

  • ασθενής είναι μικρότερος από 40 ετών
  • ο ασθενής είναι μη καπνιστής
  • το οζίδιο έχει εναπόθεση ασβεστίου
  • το οζίδιο έχει μικρό μέγεθος

Καλοήθεις όγκος Πνεύμνονος

Είναι πολύ σημαντικό να επιβεβαιωθεί αν ένα οζίδιο είναι καλοήθες ή είναι σε πολύ αρχικό στάδιο κακοήθεια.